29 grudnia 2021 roku prof. dr hab. Hady Razak Hady w raz z zespołem chirurgów I Kliniki Chirurgii Ogólnej i Endokrynologicznej USK w Białymstoku wykonał nowatorską operację uwolnienia więzadła łukowatego pośrodkowego metodą laparoskopową.
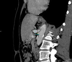
Ucisk więzadła łukowatego na pień trzewny jest przyczyną rozwoju zespołu MALS (median arcuate ligament syndrome, zespół Dunbara), objawiającego się silnym poposiłkowym bólem brzucha, mogącym prowadzić do poważnych powikłań w tym niedożywienia oraz tętniakowatego poszerzenia naczyń trzewnych. Technicznie operacja polega na przecięciu pasma łącznotkankowego uciskającego pień trzewny (tętnicę śledzionową, żołądkową lewą oraz wątrobową właściwą) przy ujściu od aorty brzusznej. Wyżej wymienione naczynia odpowiadają za prawidłowe ukrwienie większości narządów jamy brzusznej, ich uszkodzenie w kilka sekund może prowadzić do zagrażającego życiu krwawienia. Dotychczas ten rodzaj zabiegu chirurgicznego był przeprowadzany sposobem klasycznym, czyli laparotomią. Dostęp minimalnie inwazyjny pozwala na zmniejszenie urazu okołooperacyjnego, uzyskiwany jest poprzez 4 trokary (2x10mm, 2x5mm). Zastosowanie techniki laparoskopowej pozwala na szybszy powrót chorego do zdrowia, zmniejszenie pooperacyjnych dolegliwości bólowych, mniejsze ryzyko wystąpienia odległy powikłań pooperacyjnych w postaci zrostów wewnątrzotrzewnowych (mogących prowadzić między innymi do niedrożności mechanicznej przewodu pokarmowego) oraz pozostawia lepszy efekt kosmetyczny. Przeprowadzenie zabiegu sposobem laparoskopowym umożliwiło wypis ze szpitala 67. letniej pacjentki już w pierwszej dobie po operacji z zaleceniami dalszej opieki pod kontrolą przyklinicznej Poradni Chirurgicznej.
Należy podkreślić, że wyżej wymieniona operacja została wykonana po raz pierwszy w regionie. Do tej pory metodą minimalnie inwazyjną wykonano dwa takie zabiegi w Polsce, również na świecie należą do rzadkości.
Zespół operacyjny – prof. dr hab. n. med. Hady Razak Hady, lek. Patrycja Pawłuszewicz, lek. Piotr Gołaszewski
Diagnostyka obrazowa (tomografia komputerowa) – dr n. med. Adam Łukasiewicz






