Pani Alina Załoga spod Zamościa dwa lata żyła ze złamaną kością udową. Praktycznie nie mogła chodzić. W tym czasie nie udało się jej znaleźć specjalisty, który by jej pomógł. Pomoc otrzymała dopiero w Klinice Ortopedii Uniwersyteckiego Szpitala Klinicznego w Białymstoku. Jest już po operacji wymiany dwóch stawów i całej kości udowej (!). Dwa dni po operacji, przy pomocy kul, samodzielnie zrobiła kilka kroków. 9 grudnia 2023 szczęśliwsza wróciła do domu.
Lekarze przyznają, że to nietypowa operacja.
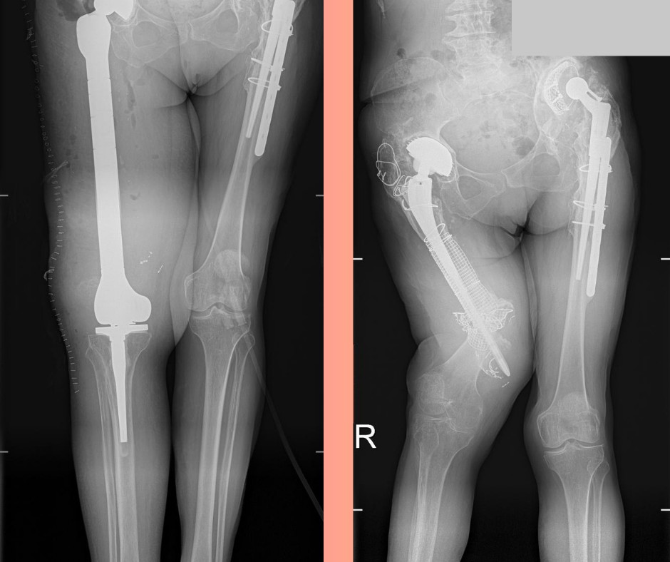
- Wykonaliśmy zabieg, który niewiele ośrodków w Polsce wykonuje – przyznaje lek. Paweł Olszewski z Kliniki Ortopedii, Traumatologii i Chirurgii Ręki USK, który był głównym operatorem. – Była to operacja jednoczasowej wymiany stawu biodrowego i kolanowego wraz z wstawieniem implantu kości udowej.
Lekarze odpreparowali i usunęli zniszczoną kość udową, a na jej miejsce wszczepili sztuczna kość tytanową. Do tego wymienili endoprotezę stawu biodrowego i kolanowego. Najczęściej takie rozwiązania są proponowane pacjentom nowotworowym, przy dużych ubytkach kości. W tym przypadku zastosowano specjalny system, który działa na zasadzie „klocków”. Lekarze tak dobierają poszczególne elementy, by odwzorować naturalne stawy i kości. Operacja trwała 3,5 godziny. Przeprowadziło ją 4 chirurgów.
Białostocka klinika chce poszerzać zakres wykonywanych operacji.
- Poszerzamy spektrum naszych operacji – przyznaje dr Jan Kiryluk, lekarz kierujący Kliniką Ortopedii w USK w Białymstoku. – W tym roku wykonamy około 900 protezoplastyk stawu biodrowego, kolanowego i ramiennego, w tym ponad 80 protezoplastyk rewizyjnych. To ponad dwukrotny wzrost ilości zabiegów protezoplastyki w stosunku do roku poprzedniego. Rozpoczynamy implantację protez tzw. „ drukowanych indywidualnie” stosowanych u pacjentów ze znaczą destrukcją tkanki kostnej. U tych pacjentów najpierw uzupełniamy ubytek w tkance kostnej elementem wydrukowanym w technologii 3 D a następnie implantujemy protezę. Od następnego roku planujemy implantację protez ze wsparciem asystenta robotycznego. Od stycznia 2024 rozpoczynamy dyżury replantacyjne w ramach ogólnopolskiego systemu replantacyjnego. Wykonany zabieg operacyjny i uzyskany efekt terapeutyczny zachęcił nas do wdrożenia podobnych zabiegów u pacjentów onkologicznych w ramach naszej kliniki . Będziemy więc implantować protezy poresekcyjne.
Historia choroby Pani Aliny – to przepastna teczka. Kobieta ma 64 lata. Jako dziecko miała nierozpoznaną i nieleczoną dysplazję stawów biodrowych. To poskutkowało tym, że w wieku 32 lat musiała przejść w Krakowie operację wymiany stawu biodrowego w nodze prawej, a półtora roku później w nodze lewej. Po dwóch latach konieczna była reoperacja. Na szczęście kolejne 20 lat „przeleciały” już bez powikłań i problemów. W wieku 52 lat Pani Alina musiała wymienić obie endoprotezy, które się zużyły. Trafiła do szpitala w Janowie Lubelskim. Tam niestety podczas operacji wymiany endoprotezy doszło do pęknięcia kości udowej. Lekarze posklejali i połączyli kość w miarę swoich możliwości. Pani Janina 6 tygodni spędziła z nogą w gipsie. Kolejne lata w miarę funkcjonowała, choć musiała się już poruszać się o kulach. Dwa lata temu z dnia na dzień jej stan się gwałtownie pogorszył - okazało się, że nie może stanąć na nogę, bo ta jest niestabilna. Okazało się, że kość udowa ponownie pękła, pojawił się potworny ból. Wtedy zaczęła się wędrówka kobiety po szpitalach. Najpierw trafiła do Janowa Lubelskiego, stamtąd skierowano ją do Lublina. W Lublinie dwukrotnie lekarze przymierzali się do operacji i dwukrotnie wypisywali chorą, nie operując. Córka Pani Aliny zaczęła szukać pomocy w internecie. I tak Pani Alina Trafiła do dr Pawła Olszewskiego, do jego gabinetu w Warszawie.
- Od Pana doktora usłyszałam, że w Poznaniu jest oddział, który specjalizuje się w takich rekonstrukcjach – opowiada Pani Alina. – I doktor mnie tam pokierował. Byłam tam na wizycie, ale okazało się, że oddział jest likwidowany.
Potem kobieta szukała jeszcze ratunku w Międzylesiu. Obiecywano jej, ze będzie operacja, ale przez pół roku nikt nie wyznaczył terminu.
- Ja już straciłam nadzieję. Cierpiałam, nie mogłam chodzić. Córka zaczęła pisać do wszystkich programów interwencyjnych w Polsce: od „Uwagi”, przez „Alarm” do Interwencji. Ale nikt się moim losem nie zainteresował - przyznaje.
Wtedy ponownie zadzwoniła do doktora Olszewskiego z prośbą o pomoc.
- Nie wierzyłam, ale kilka dni później zadzwoniono do mnie ze szpitala w Białymstoku i wyznaczono termin - opowiada. - I jestem po operacji. Czuje się doskonale. Mogę już nawet chodzić o kulach. Jestem taka szczęśliwa i całemu światu chce wykrzyczeć, jaka pomoc mnie tu spotkała.
Kobietę czeka rehabilitacja i nauka chodzenia od nowa. A za jakiś czas będzie ją czekać operację drugiej nogi.
Białostocki ośrodek już jest wiodącym ośrodkiem protezoplastyki w regionie i ma szansę stać się ośrodkiem referencyjnym jeśli chodzi o operacje endoprotez rewizyjnych w całym regionie północno-wschodniej Polski.
- Mamy duże szanse wykonywać ponad 50 protezoplastyk rewizyjnych spoza ośrodka, co wg. zasad NFZ, skutkuje wyższą stawką w kolejnym okresie rozliczeniowym - przyznaje dr Jan Kiryluk, lekarz kierujący Kliniką Ortopedii.







